26주 임당검사 이후 한달의 시간이 훌쩍 갔습니다.
그 동안 아기 용품을 정신없이 당근했는데요~ 다음번엔 아기 용품 당근 목록 한번 정리해볼게요!
확실히 28주 이후로는 배가 훅훅 나와요.. 임부복 안입어도 되겠다 생각했었는데 고무줄 바지도 불편해지는 마법~
어쨌든 30주차 검진차 산본제일병원에 방문했습니다!
1층 원무과에 들려 인생네컷 카페 후기 보여드리고 베개랑 캡슐세제 득템! (원래 딸랑이인데 재고 부족으로)
이후 2층으로 올라가서 혈압, 몸무게를 먼저 측정해서 제출합니다.
혈압은 정상인데, 몸무게 무슨일이야.. 거의 15kg 쪘어요 ㅠㅠㅠㅠㅠㅠㅠ
30주차 검진부터는 소변 검사도 같이 합니다. 단백뇨 여부를 보기 위해서래요.
평소에 거품뇨가 잦고 5주차 산전검진 때 단백뇨 1+ 나와서 너무너무 걱정했는데 다행히 단백뇨는 아니었어요.
저는 정윤희 과장님께 진료를 받고 있는데 언제나 친절하게 잘 설명해주십니다.
담당 간호사 선생님도 갈때마다 뭘 자꾸 챙겨주세요. 저번엔 임당 검사 후 배고프다하니까 두유 주시고
이번엔 수딩젤같은거 새 제품 주시더라고요. 건조할 때 바르라면서 (감사합니다.)
역시나 들어가자마자 몸무게 무슨일이냐고 한소리 듣고.. 단거 먹지말고 차라리 고기 먹으라고 하십니다..
(그래서 저녁때 삼겹살 많이먹음..)
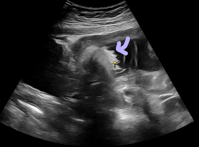
정기 초음파 (이번주차 보험적용)로 머리 둘레, 배둘레, 다리길이, 신장 등등 봐주셨어요.
가장 기억에 남는건 머리카락ㅋㅋ

양수안에서 하찮게 흔들리고 있는 머리카락이 엄청 귀엽더라구요.
그렇게 정기검진까지 마치고, 분만 방법은 생각해봤냐고 물어보셨어요.
일단 자연분만 생각중이라고 했고, 혹시 살 많이찌면 자연분만 못하냐고 여쭤보니 그건 아니라고 하시네요.
물론 임신중독증으로 가게되면 자연분만은 혈압문제때문에 불가능하다고 하셨어요.
(=몸무게 관리하란 의미)
어쨌든 자연분만 생각중이라하니 별 문제 없으면 자연분만 시도하는게 맞다면서 동의해주셨습니다.
30주 이후부터는 2주 간격으로 검진을 보러 가야한대서 2주뒤로 예약잡고, 진료 끝!
그리고 30주차에는 백일해 주사 맞는 스케줄이래요.
임산부는 아이한테 항체를 넘겨줘야해서 임신할 때마다 백일해 주사를 새로 맞고
남편은 백일해 한번 맞으면 10년간 추가로 맞지 않아도 된다고해요.
둘다 결제하고 1층 소아과에 갔더니 남편은 21년도에 맞은 기록이 있어서 환불해주셨어요.
가격은 인당 오만원입니다.
참고로 의왕 거주하시는 분들은 보건소에서 공짜라네요? 의왕시민 분들 있으시면 병원서 맞지 마시고 보건소가세요~~
다음은 32주 검진으로 돌아올게요~
'생활정보' 카테고리의 다른 글
| 인천국제공항 임산부 교통약자 등록하기 (0) | 2026.04.03 |
|---|---|
| 산본제일병원 26주 임당검사, 2D 입체초음파 비용/후기 (0) | 2026.04.01 |
| 테이블포포 주말 디너 후기, 주차 (0) | 2026.03.20 |
| 하와이 호놀룰루 시내 버스타는 방법 총정리 (0) | 2026.03.19 |
| 산본제일병원 임신 13주~21주차 후기 (0) | 2026.03.18 |