치과 정기 검진 중 과잉치가 있다는 얘기를 들어본적이 있으신가요?
오늘은 과잉치가 무엇인지 알아보고 꼭 뽑아야하는 케이스들에 대해서 알아보겠습니다.
1. 과잉치란?

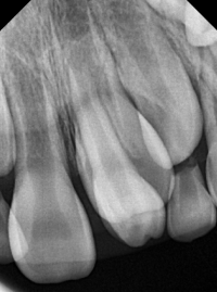
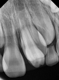
과잉치는 정상적인 치열보다 추가로 발생한 치아를 의미하며, 대체로 윗 앞니 입천장 쪽에 주로 많이 발생됩니다.
주로 유전적인 요인으로 발생하며, 하악보다는 상악에서 더 흔히 나타나고, 여아보다는 남아에서 더 호발합니다.
과잉치는 다양한 형태로 나타날 수 있으며, 가장 일반적인 형태는 앞니 사이에 생기는 "정중과잉치(mesiodens)"입니다. 이러한 과잉치는 치열의 배열을 방해하거나 치아 맹출 경로를 막을 수 있습니다.
과잉치의 존재는 주변 치아의 정상적인 발육을 방해할 수 있으며, 경우에 따라서는 통증을 유발하거나 치아 배열의 이상을 초래할 수 있습니다. 진단은 주로 치과 엑스레이를 통해 이루어지며, 치료는 과잉치의 위치와 환자의 상태에 따라 다릅니다. 일반적으로는 외과적 발치가 필요할 수 있으며, 이후에는 교정 치료를 통해 정상적인 치열을 유지합니다.
초기에는 증상이 없을 수 있지만, 방치할 경우 복잡한 치과 문제로 발전할 수 있으므로, 조기에 발견하고 적절한 조치를 취하는 것이 중요하기 때문에 정기적인 치과 검진을 통해 과잉치를 조기에 발견하고 관리하는 것이 바람직합니다.
2. 과잉치 종류
과잉치는 발생 위치와 형태에 따라 여러 종류로 분류됩니다.
일반적으로 과잉치는 맹출 부위, 모양, 그리고 발생하는 시기에 따라 분류할 수 있습니다.
1) 맹출 부위에 따른 분류
-상악 중절치 (Mesiodens): 가장 흔한 형태로, 상악 앞니 사이에 위치합니다. 대개 원추형으로 나타나며, 앞니 사이의 공간을 벌리거나 회전시킬 수 있습니다
-상악 구치 : 상악 소구치나 대구치부위에 추가로 생기는 치아입니다.
-하악 중절치 및 소구치 : 하악의 전치 또는 소구치 부위에 나타나는 경우입니다.
2)형태에 따른 분류
-원추형 과잉치: 뾰족한 원추형의 치아로, 대부분 중절치 형태로 나타납니다.
-결절형 과잉치: 정상 치아와 유사한 형태를 가지지만 크기가 작거나 불규칙한 모양을 가집니다.
-복합 치체형 과잉치: 여러 개의 작은 치아 구조물로 구성된 형태로, 주로 하악에서 발견됩니다.
3) 맹출 방향에 따른 분류
-정위: 다른 치아와 마찬가지로 치아 맹출 방향으로 나는 과잉치를 의미합니다.

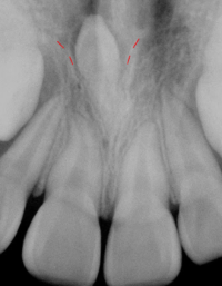
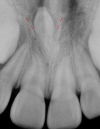
-역위: 다른 치아와 반대방향으로 거꾸로 올라가는 방향으로 나는 과잉치를 의미합니다. (맨 위 사진)
3. 과잉치 꼭 뽑아야하는 경우
1) 영구치 맹출을 막는 경우
2) 영구치 뿌리를 흡수시키는 경우
3) 물주머니가 만들어지는 경우
4) 치열의 변화를 야기하는 경우
5) 향후 교정 치료를 할 계획이 있는 경우
과잉치를 잇몸 절개 수술을 해서라도 뽑아야 하는 경우는 결국 영구치에 영향을 주냐, 안주냐에 따라 결정됩니다. 만약 과잉치로 인해 영구치가 못 나오는 경우는 수술을 통해서라도 제거를 해주셔야 합니다. 또는 과잉치로 인해 영구치 뿌리가 흡수되는 경우(드물긴 합니다) 또한 영구치에 위해를 가하기 때문에 제거해주셔야 합니다. 과잉치가 뼈 안쪽에 있다가 간혹 물주머니 (물혹)를 만드는 경우가 있습니다. 이 경우도 제거를 해주셔야 물혹이 더 커지지 않습니다.
과잉치로 인해 치아가 벌어진 환자들이 있습니다. 치열에 문제가 생기는 경우 역시 과잉치 제거가 필요합니다.
마지막으로 영구치에 문제는 없지만 교정을 하고자 할때, 과잉치를 뽑아주셔야 합니다. 치아를 이동시키려면 내부에서 걸리는 것들이 없어야하는데 과잉치가 있으면 치아 이동 시 방해가 될 수 있기 때문에 뽑아야 합니다.
만약 별 다른 문제가 없이 영구치가 잘 나왔다면, 나중에 성인이 되어서 과잉치가 있는 것을 알게되는 경우도 있습니다.
'치과학' 카테고리의 다른 글
| 사랑니 부위 통증, 발치 꼭 필요한 케이스 정리 (0) | 2024.09.27 |
|---|---|
| Clear aligner technique 투명교정 4 (0) | 2024.08.13 |
| 영구치 나오는 나이와 순서, 시기별 관리방법 총 정리 (0) | 2024.07.19 |
| 우리 아이 유치가 안나와요! 유치 나오는 순서와 시기별 관리 방법 (0) | 2024.07.18 |
| 치아 색이 어둡게 변했어요 : 원인, 해결방법 정리 (0) | 2024.07.03 |