사랑니는 영구치 중 가장 늦게 나는 치아로, 보통 17세에서 25세 사이에 나기 시작합니다. 치아 공간이 충분하지 않거나 비정상적인 위치에서 자라면 주변 치아를 밀어 통증, 염증, 혹은 감염을 유발할 수 있습니다. 일부 사람들은 사랑니가 정상적으로 나지 않거나 잇몸 속에 매복되기도 하며, 이로 인해 통증이 발생합니다. 모든 사람에게 사랑니가 나는 것은 아니며, 4개 또는 더 적게 날 수도 있습니다. 오늘은 사랑니 부위에 통증 원인과 통증이 있는 경우 대처방법, 사랑니 발치가 꼭 필요한 케이스를 정리해 보겠습니다.

1. 사랑니 통증 원인
사랑니 통증의 제일 대표 원인은 사랑니주위 잇몸에 염증이 생긴 경우입니다. 사랑니가 부분적으로 맹출 하는 경우 사랑니와 그 주변 잇몸에 음식물이 끼게 되고 염증이 유발됩니다. 사랑니 잇몸이 점점 부으면서 주변을 건드리면 욱신하게 통증이 생기고 양치 시 출혈이 발생합니다.
또 다른 원인으로는 매복 사랑니의 물혹이 있습니다. 사랑니가 턱 뼈에 매복되어 있는 경우 간혹 스스로 물혹을 형성하는데 물혹 자체는 통증을 유발하지는 않으나 물혹이 감염되어 염증을 유발하는 경우 통증이 유발됩니다. 물혹으로 변하는 경우 사랑니 발치가 필요합니다.
마지막 원인으로는 사랑니로 인한 충치가 있습니다. 사랑니에 충치가 심하게 생기거나, 그 앞 어금니에 충치를 유발한 경우 신경까지 충치가 닿으면 통증이 발생합니다. 이 경우 음식을 먹을 때 시큰하거나 가만히 있어도 찌릿찌릿한 통증을 유발하며 심해지면 밤에 잠을 못 잘 정도로 치통이 심해집니다.
그 외에 사랑니로 인한 부정교합 등으로 통증이 발생할 수 있으나 가장 주원인은 잇몸 염증입니다.
2. 사랑니 통증 대처 방법
통증 양상이 욱신하고 양치할 때 사랑니 부위가 아프다면 일시적인 염증일 가능성이 큽니다. 이 경우 구강 위생 관리를 잘해주시고 통증이 있을 경우 소염진통제를 복용해 주시면 가라앉는 경우가 대부분입니다.
사랑니 잇몸 통증시 타이레놀 (아세트아미노펜) 계열은 염증 완화 작용은 매우 약하기 때문에 이부프로펜(NSAID)으로 복용하시는 것이 좋습니다. 참고로 사랑니 잇몸 염증이 시작되었다면 사랑니 발치가 근본적인 해결 방법입니다. 약 먹는 것은 일시적인 해결 방법입니다.
통증 양상이 찌릿하고 전기가 통하는 것처럼 간헐적으로 계속되면 이것은 신경의 문제입니다. 사랑니 신경의 문제라면 발치를 하면 해결되고, 만약 그 앞 치아에도 충치가 생겨 통증이 발생하는 것이라면 그 앞 치아를 신경치료하거나 발치해야 합니다. 충치의 심한 정도에 따라 치료법이 달라지니 치과에 방문하셔서 엑스레이를 찍어보셔야 합니다.
만약 사랑니 통증이 생기고 아래턱이 점점 붓는다거나 얼굴이 붓는 경우는 바로 치과로 가셔야 합니다. 이 경우는 염증이 퍼져서 문제가 심화될 수 있기 때문에 주변 치과가 문을 안 열었다면 응급실이라도 내원하셔서 항생제 등을 처방받으셔야 합니다.
결론적으로 사랑니 통증이 있으면 소염진통제로 일시적인 해결은 되나, 근본적인 방법은 사랑니 발치입니다.
3. 사랑니 발치가 꼭 필요한 경우
1) 사랑니 각도가 누워있는 경우

사랑니 맹출 각도가 누워서 앞에 치아에 걸려있는 경우, 앞 어금니에 충치가 생길 수 있습니다. 이 경우 그대로 둔다면 최악의 경우 그 앞 치아도 발치해야 하는 경우가 생기기 때문에 사랑니가 누워있는 경우는 발치를 하시는 게 좋습니다.
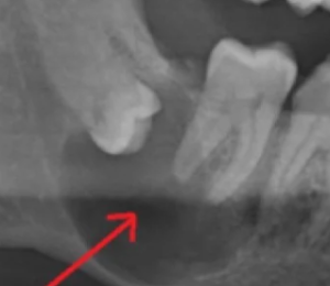
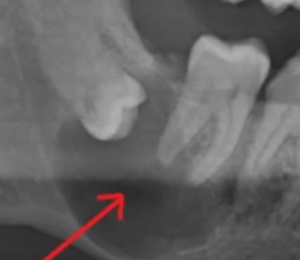
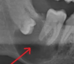
2) 매복 사랑니에 물혹이 생긴 경우

상기 사진처럼 사랑니가 턱뼈에 매복되어 있고 동그랗게 물혹을 만든 경우, 발치가 매우 필요합니다. 처음에는 물혹이 작다가 사이즈가 점점 커지면서 주변 치아에까지 퍼지고 턱뼈 안의 신경을 누르는 경우도 생기기 때문에 매복 사랑니는 되도록 발치를 하시는게 좋습니다.
만약 현재 통증도 없고 엑스레이상 문제가 없는 상태로, 발치가 부담스럽다면 주기적으로 정기 검진을 하셔야 합니다. 정기 검진 시 물혹이 생겼다거나 점점 커지는 것 같다고 하면 그때는 발치를 꼭 하셔야 합니다.
3) 사랑니 잇몸 염증

사랑니가 맹출 하면서 저렇게 잇몸이 붓는다면 발치하시는 게 좋습니다. 잇몸이 부으면 통증이 생길 뿐 아니라 잇몸 하방으로 음식물이 끼어서 충치가 생길 가능성이 높습니다.
정말 깨끗하게 관리할 자신이 없는 이상, 발치하시는게 장기적으로 유리합니다.
4. 사랑니 발치가 필요 없는 경우
사랑니 발치가 필요 없는 경우는 사랑니가 다른 이들처럼 예쁘게, 잘 올라온 경우입니다.
잘 올라와서 위아래 사랑니가 대합이 되고 음식을 씹는 기능까지 가능하다면 사랑니 발치를 할 필요는 없습니다. 대신 양치를 잘하셔서 충치가 생기지 않게 관리를 잘해주세요.
저도 사랑니 4개가 다 있어서 다 발치를 했습니다. 위 사랑니의 경우는 간단한 경우가 많아서 쉽게 뽑았는데 아래는 결국 수술로 잇몸을 째고 뽑았던 기억이 나네요.
사랑니의 경우 앞 치아에 문제를 일으키는 경우가 다반사라 웬만하면 발치를 하시는 게 좋습니다.
통증이 있다면 소염진통제 복용하시고, 가능한 한 빨리 치과에 방문해 주세요~~
'치과학' 카테고리의 다른 글
| 미성숙 영구치 어금니 신경치료 과정, 재료 선택 (1) | 2024.11.18 |
|---|---|
| 서울/경기 치과의사 보수교육 4점 채우기 (아주대학교 치과병원 학술대회) (1) | 2024.10.21 |
| Clear aligner technique 투명교정 4 (0) | 2024.08.13 |
| 과잉치 꼭 뽑아야하나요? (0) | 2024.07.26 |
| 영구치 나오는 나이와 순서, 시기별 관리방법 총 정리 (0) | 2024.07.19 |