평생 살다보면 한번쯤은 당할 수 있는 치아 외상, 치아 파절! 특히 활동량이 많은 초등학생 학령기 어린이부터 술을 드시고 넘어지거나 부딪혀서 앞니가 깨지는 분들이 참 많습니다. 유치부터 영구치까지 치아 깨짐, 앞니가 깨졌을 때 대처 방법과 치료 필요 여부에 대해 알아보겠습니다.

1. 유치 치아 깨짐 : "유치 앞니가 깨졌어요." "아이가 넘어져서 이가 깨졌어요."

유치 외상, 유치 앞니 깨짐의 경우 아이의 연령이 중요합니다. 앞니 빠질 때까지 기한이 얼마 남지 않았다면 (윗니의 경우 보통 만 7세 이상) 적극적인 치료를 하지는 않습니다. (대신 앞니 빠질때 쯤에 다치면 치아 깨짐보다는 피나고 엄청 흔들리는 경우가 많긴 합니다.)
만 6세 이하의 경우, 앞니가 깨졌다면, 살짝 깨졌더라도 일단 치과에 방문하셔서 엑스레이 촬영을 하셔야합니다.
앞니 깨짐, 외상을 방치했다가 치아 신경이 죽으면 뼈 안의 영구치 형성에 영향을 줄 수 있기 때문입니다.
살짝 깨진 경우 큰 문제는 잘 발생하지 않긴하는데, 그래도 엑스레이 촬영으로 깨진 부위가 얼마나 신경과 근접한지는 확인이 필요합니다.
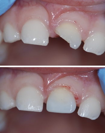
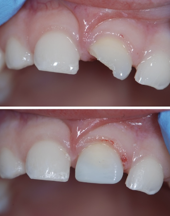
만약 상기 사진처럼 유치 치아의 반정도가 깨졌다하면 레진 치료를 권유 드립니다. (신경치료 가능성도 있어보이네요.)
깨진 것을 증상이 없다고 방치했다가 치아에 실금이나 깨진 균열을 통해 감염이 될 수 있습니다.
2. 영구치 깨짐

1) 초등학생인데, 앞니가 깨졌어요
조금 깨졌더라도 치과에 방문하십시오. 연령에 따라 아직 영구치가 미성숙한 경우 치아 외상, 치아 다침에 굉장히 예민합니다. 내부 신경이 죽었을 경우 치아의 성장이 멈출수도 있으니 치과에서 엑스레이 찍고 경과관찰이 필요합니다.
2) 중고등학생 ~ 성인인데, 치아 (앞니) 가 끝부분만 살짝 깨졌어요.
저도 중학생 때 넘어져서 앞니가 살짝 깨졌었는데요, 그땐 치과가 무서워서 엄마한테 말도 안하고 증상도 없어서 그냥 넘어갔어요. 성인인 지금도 사실 별 문제는 없습니다. 만약 치과가 너무너무 가기 싫다 or 시간이 정 안난다 하시면 일단 스스로 지켜보셔도 됩니다. 대신 찬것을 먹었을때 시린 증상이 몇초간 지속되거나 뜨거운 것 먹을때 통증 또는 가만히 있는데 찌릿한 통증이 있으면 치과에 바로 가셔야 합니다.
치아 깨진 부위가 날카롭다면 치과에서 부드럽게 다듬는 방법도 있습니다. 아니면 레진으로 떼우셔도 되고요.
일단 확실하게 진단 받으려면 치과 방문을 우선적으로 추천드립니다.
3) 중고등학생 ~ 성인인데, 치아 (앞니)가 반 이상 깨졌어요.
아마 본인도 치료가 필요한 상태라는 것을 거울을 보고 느끼셨을거에요.(그 느낌이 맞습니다.)
보통 치아가 반정도 깨진 경우 신경이 노출됐을수도, 운좋게 노출이 안됐을 수도 있습니다. 만약 깨졌을 때 치아에 피가 조금 났다하면 신경이 노출된 것입니다. 신경치료 후 레진이나 크라운 치료가 필요한 상태입니다.
반 이하로 깨졌거나, 피가 나지 않았다면 다행히 신경은 드러나지 않았을 가능성이 높습니다. 그래도 그대로 방치하면 치아가 시리거나, 통증이 발생할 수 있고 깨진 틈으로 신경이 감염될 수도 있습니다. 신경치료 안해도 될 것을 방치하고 냅뒀다가 신경치료까지 해야하는 경우도 발생합니다.
-치아가 계속 시리거나, 뜨거운 것 먹을때 통증이 있거나 가만히 있을 때 통증이 있는경우
-치아 색이 어둡게 변한 경우
-잇몸에 동그랗게 고름이 잡힌 경우
상기 경우들은 신경이 죽은 상태로 신경치료 후 레진 또는 크라운 치료가 필요합니다. 이 경우는 빨리 치과로 가셔서 엑스레이 찍어보셔야 합니다.
4) 치아가 깨졌는데, 치아 파편 챙겨야하나요?
치아가 깨졌는데 다행히 파절편, 파편이 있다면 일단 지참하여 치과로 내원해주세요.
파절편을 붙여주는 술식도 있습니다! 다만 치아는 한번 깨지면 완전한 접착은 어렵습니다. 붙이더라도 끈적이는 음식이나 딱딱한 것을 먹다가 떨어질 가능성이 높아요~ 한정된 케이스에 한해서 파절편을 붙일 수도 있으니 꼭 챙겨주세요!
파편은 생리식염수나 우유 등에 넣어서 가져가시면 됩니다. 대신 끝에만 살짝 깨진 곳에 파절편을 붙이지는 않습니다. (매우 잘 떨어져서 그냥 매끈하게 다듬는게 나을수도 있어요)
이상으로 치아 깨짐으로 치과에 내원하는 환자들의 케이스를 간단히 나누어 정리해보았습니다.
가장 정확한 것은 조금 깨졌든, 많이 깨졌든, 다친지 얼마 안됐을때 엑스레이를 꼭 찍어보셔야 알 수 있습니다. (치아는 조금 깨졌는데 엑스레이 찍어보니 치아 뿌리가 부러져있는 경우도 있습니다.)
특히, (1) 증상, 통증이 있거나 (2) 치아 색이 어둡게 변했거나 (3) 잇몸에 동그란 고름 주머니가 생겼다면 주저없이 치과를 방문하십시오! 그 외 궁금한 사항이 있으시면 댓글 남겨주세요~~ ^^
'치과학' 카테고리의 다른 글
| 우리 아이 유치가 안나와요! 유치 나오는 순서와 시기별 관리 방법 (0) | 2024.07.18 |
|---|---|
| 치아 색이 어둡게 변했어요 : 원인, 해결방법 정리 (0) | 2024.07.03 |
| Clear aligner technique 투명교정 3 (3) | 2024.05.30 |
| 영유아 건강검진, 구강검진 문진표, 비용, 시기, 병원 한번에 알아보기 (0) | 2024.05.25 |
| Clear aligner technique 투명교정 2 (1) | 2024.05.23 |