오늘의 치과 궁금증 주제는 치아 색이 어둡게 변했을때 원인과 대처방법입니다.

혹시 치아가 변색되기 전 부딪혔다거나 엄청 딱딱한 음식을 씹은적이 있으신가요?
아니면 치아 변색 전 찌릿하게 특정 치아가 아팠다거나 시렸던적은 없으신가요?
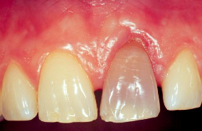
치아 변색의 원인은 다양하지만 오늘 다루는 치아 변색은 특정 치아 한두개만 어둡게 변색된 경우를 알아볼 예정입니다.
전반적으로 치아가 누렇게 변색됐다면 음식물로 인한 착색일 가능성이 높습니다!
1. 치아 색이 어둡게 변한 원인

치아 변색의 원인은 정말 다양합니다. 이 중 특정 치아 하나가 빨갛게 또는 어둡게 변색되는경우는 보통 치아 신경의 문제일 가능성이 큽니다. 치아 신경에 영향을 주는 원인은 충치, 수복물과 치아 사이의 틈새, 외상 등이 존재합니다.
치아 신경에 염증이 발생하면,
1) 일단 치통이 심하게 옵니다.
2) 이후 치아 신경이 괴사되면서 통증은 줄어들고
3) 치아가 점점 어두운 색으로 변하게 됩니다.
보통 단일 치아의 단기간 변색은 외상이 가장 흔한 원인입니다. (최근 젓가락같이 딱딱한 물체를 씹어서 치아에 강한 충격을 받았거나 넘어졌거나 등등)
2. 해결 방법

치아가 어둡게 변색된 경우 보통 치아 신경이 죽은 것이기 때문에, 신경치료가 필요합니다.
아이들의 경우 변색이 되다가 돌아오는 경우가 종종 있습니다만, 성인의 경우 대부분 변색이 저절로 돌아오는 경우는 없습니다. 일단 혼자 거울보면서 걱정하지 마시고, 치과에 가셔서 엑스레이랑 다 찍고 검사를 해보셔야 합니다!
치료가 늦어지면 늦어질수록 변색 해소가 점점 더 어려워질수 있어요!
앞니는 신경치료 후 크라운이 필수는 아니기때문에 치과 방문해보셔서 전문가와 상담해보시면 됩니다.
참고로 신경치료를 하더라도 이미 변색이 된 치아가 돌아오지는 않는데, 치아 미백 등등 옵션이 다양하며, 변색이 너무 심하다면 크라운이나 라미네이트가 필요할 수 있습니다!
* 혹시 궁금하신 사항 있으시면 댓글로 남겨주세요.
'치과학' 카테고리의 다른 글
| 영구치 나오는 나이와 순서, 시기별 관리방법 총 정리 (0) | 2024.07.19 |
|---|---|
| 우리 아이 유치가 안나와요! 유치 나오는 순서와 시기별 관리 방법 (0) | 2024.07.18 |
| 치아 깨짐, 앞니 깨짐 방치하면? (대처방법, 치과 방문 필요한 경우 알아보기) (0) | 2024.06.20 |
| Clear aligner technique 투명교정 3 (3) | 2024.05.30 |
| 영유아 건강검진, 구강검진 문진표, 비용, 시기, 병원 한번에 알아보기 (0) | 2024.05.25 |